Воронеж ваш город?
Да
Выбрать другой город

МРТ аппарат GE SIGNA Voyager 1.5T

В наличии
Современное медицинское оборудование с передовыми технологиями визуализации. Обеспечивает высокую точность диагностики благодаря улучшенной системе сканирования. Комфортный для пациентов за счет эргономичного дизайна и сниженного уровня шума. Подходит для широкого спектра исследований в различных областях медицины.
В корзине
Лизинг
Доставка и лизинг по всей России
Включая Дагестан, Чечню и Крым
Гарантия
Гарантия на медицинское оборудование от производителя!
Послепродажный сервис
Инженерная поддержка
Инструктаж по монтажу и обучение персонала включены в стоимость
Гибкие условия
Оперативная доставка
Лизинг и доставка оборудования в наличии от 1 рабоего дня

Магнитно-резонансный томограф GE SIGNA Voyager 1.5T представляет собой передовое диагностическое решение, сочетающее в себе высочайшее качество визуализации, комфорт для пациентов и удобство работы для медицинского персонала. Это оборудование открывает новые возможности для точной диагностики широкого спектра заболеваний.

Основные преимущества системы

  • Исключительное качество изображений для точной диагностики
  • Просторный тоннель (70 см) для комфорта пациентов
  • Сниженный уровень шума во время исследования
  • Широкие возможности для специализированных исследований
  • Энергоэффективность и экологичность работы

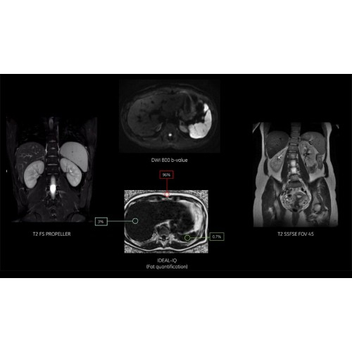
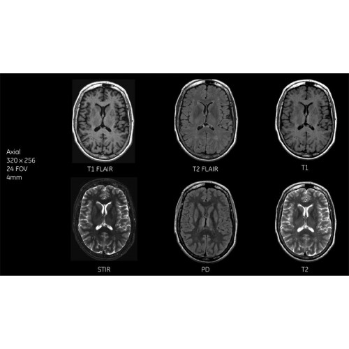
Диагностические возможности аппарата

Многофункциональность исследований

МРТ аппарат GE SIGNA Voyager 1.5T позволяет проводить полный спектр магнитно-резонансных исследований, включая нейровизуализацию, исследования опорно-двигательного аппарата, органов брюшной полости и малого таза, а также специализированные кардиологические программы.

Технологии комфортного сканирования

Система разработана с учетом потребностей пациентов, испытывающих дискомфорт в замкнутых пространствах. Улучшенный дизайн тоннеля и продуманная система вентиляции создают комфортные условия даже при длительных исследованиях.

Преимущества для медицинских учреждений

Оптимизация рабочего процесса

Интуитивно понятный интерфейс и автоматизированные функции позволяют медицинскому персоналу работать более эффективно, сокращая время подготовки к исследованиям и обработки результатов.

Экономическая эффективность

Высокая производительность системы и низкие эксплуатационные расходы делают GE SIGNA Voyager 1.5T выгодным вложением для диагностических центров и клиник различного профиля.

Поддержка современных протоколов

Аппарат поддерживает все актуальные диагностические протоколы и совместим с современными медицинскими информационными системами, обеспечивая интеграцию в цифровую инфраструктуру клиники.

Области применения

  • Неврология и нейрохирургия
  • Ортопедия и травматология
  • Онкологическая диагностика
  • Кардиологические исследования
  • Обследования органов брюшной полости и малого таза

Выбирайте передовые технологии диагностики

МРТ аппарат GE SIGNA Voyager 1.5T – это надежное решение для клиник, стремящихся предложить пациентам диагностику высочайшего уровня. В нашем интернет-магазине вы можете получить профессиональную консультацию по выбору оборудования. Для оформления заказа и уточнения деталей звоните по телефону 8 800 700 21 33 – мы поможем подобрать оптимальную конфигурацию для вашего медицинского учреждения.

Характеристики
Мощность:
1.5 тесла
Общие
Категория:
МРТ-аппараты, Полуоткрытые аппараты МРТ, МРТ аппараты для животных
Бренд:
GE Healthcare
Онлайн калькулятор
Цена
Ориентировочная цена модели
Аванс
10% 100%
 
Срок лизинга
12 месяцев 36 месяцев
 
Ежемесячный платёж
Первоначальный взнос
* Рассчет платежа носит информационный характер и не является публичной офертой.
Условия лизинга индивидуальны для каждого договора.
Условия лизинга
  • По всей России (Включая Крым, Дагестан и Чечню)
  • Авансовый платеж от 10% (для УЗИ брендов GE, Mindray и Samsung)
  • Оформление лизинга от 48 часов
  • Возможность досрочного погашения
  • Лизинг оборудования от 1 года

Тип магнита LCC К4
Градиентная система HFD S lite, 8907. (SR 50)
Вес магнита 3,6 тонн
Количество каналов 4/8
Количество электронных шкафов 1
Охлаждающее вещество Жидкий гелий
Частота замены охлажд. вещества Один раз в 18 месяцев
Необходимая площадь помещения Минимум 22 кв. м
Необходимая высота потолка Минимум 2,5 м
Давайте обсудим
Покупку или лизинг
медицинского оборудования